痛みが少なく目立ちにくい
マウスピース矯正とは?
透明に近いマウスピース型の矯正装置(アライナー)を歯に装着して、歯並びを矯正する方法です。一人ひとりの歯に合わせて作られる矯正装置を装着し、治療の段階にあわせて新しい装置に交換しながら、徐々に歯を動かしていきます。
但し、すべての矯正がインビザラインだけでできるわけではありません。インビザライン中でも、意図しない動きがあった場合、部分的にワイヤーを使用しないといけない場合があります。
公園通り歯科ホームページは、厚生労働省より通達され2018年6月1日より施行された医療広告ガイドラインに従い、症例写真は撮影したデータそのままを使用しています。
また、医療広告ガイドラインに従い治療の内容、費用、治療等の主なリスク、副作用についての詳細説明を付加しています。
メリット
- ワイヤー矯正、部分矯正に比べ、目立ちにくい。
- 食事や歯磨きのときに取り外せる。
- 検査後、治療期間が決まる。
- ワイヤー矯正、部分矯正に比べ、2~3ヶ月に1回と通院回数が少ない。
デメリット
- 装着時は飲食の制限がある。
リスク・副作用
- 自己判断で装着を怠った場合、装置があわなくなり再作製費用が追加でかかる場合がある。
- 装置を紛失するリスクがある。
- 口の中が乾く(と感じる)ことがある。
マウスピースと
他の矯正方法との違いは?
目立ちにくい
一番の魅力は、目立ちにくいこと。薄く透明に近い医療用プラスチック製なので、着けていることがほとんど分かりません。見た目たが気になる人や、人と接する機会が多い方にオススメの治療法です。
装置を外して食事ができる
患者様が自分で取り外しができる矯正方法です。装置に食べ物がつまる心配もなく食事を楽しめます。また歯磨きなどお口の中のお手入れもいつも通りにできます。
痛みが少ない
マウスピース型の矯正方法は金属を使わず、段階的に歯を移動させていきます。いわゆる従来の矯正方法に比べると痛みが少なく、唇や口の中の粘膜を傷つける心配が ありません。また定期的に装置を交換していくので、矯正装置が「歯から外れてしまった!」「壊れた!」といった緊急性のある事態が少ないことも魅力です。
※当院ではティップエッジという新しい治療法を採用し、従来に比べ痛みの少ないワイヤー矯正もご用意しています。
新しい装置に交換しながら治療
治療の段階にあわせて矯正装置を新しいものに交換しながら進めていきます。交換はご自身で行うので計画的に交換していくのを忘れないようにしましょう。
装着と交換を忘れないように
「きちんと計画に沿って装着し、時期が着たら交換する。」この点だけきちんと守って治療を行えば、自分で取り外しのできる自由度の高い矯正方法です。
しかし自己管理ができない人の場合は、治療期間が長引いてしまったり、計画通りに歯が移動できないといったデメリットが出てくる可能性があります。
マウスピース矯正の事例
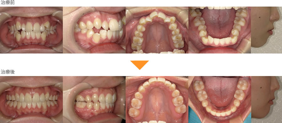
(症例1)前歯の歯並びが気になる
- 年齢
- 30代
- 性別
- 女性
- 期間
- 約1年
- 費用
- 約45万円(治療時)
- リスク清掃不良による虫歯、痛みを伴うことがあります。
前から2番目の歯が中に入っています。左上の歯は、反対に噛んでいます。
歯を整えて並べるために、左上奥歯のスペースを使って、全体のバランスを整えながら、並べてゆきます。
インビザライン(マウスピース)で部分矯正をしますと、目立ちにくく、治療できます。
ご相談は、院長はじめ、スタッフにいつでもお気軽にお声かけください。
- 【 医薬品医療機器等法(薬機法)に関する記載事項 】
- ・インビザライン完成物は、日本国内において薬機法未承認の矯正装置であり、医薬品副作用被害救済制度の対象外となる場合があります。
尚、インビザラインの材料自体は、日本の薬事認証を得ています。 - ・「インビザライン」は米国アライン・テクノロジー社の製品の商標であり、インビザライン・ジャパン社から入手しています。
- ・日本国内においては、同様の医療機器が薬事認証を得ています。
- ・インビザライン・システムは、世界 100 カ国以上の国々で提供され、これまでに 900 万人を超える患者さまが治療を受けています。( 2020 年 10 月時点)
(症例2)上下の前歯が出ている。下の歯がガタガタしている。
- 年齢
- 20代
- 性別
- 男性
- 期間
- 約1年6ヶ月
- 費用
- 約80万円(治療時)
- リスク清掃不良による虫歯、痛みを伴うことがあります。
上下の歯が前にでています。歯が前に傾いていますので、口元が少し出ているように見えます。
矯正後の歯並びでは、歯の傾きが改善されており、口元の突出感も改善できました。
インビザライン(マウスピース)で部分矯正をしますと、目立ちにくく、治療できます。
ご相談は、院長はじめ、スタッフにいつでもお気軽にお声かけください。
- 【 医薬品医療機器等法(薬機法)に関する記載事項 】
- ・インビザライン完成物は、日本国内において薬機法未承認の矯正装置であり、医薬品副作用被害救済制度の対象外となる場合があります。
尚、インビザラインの材料自体は、日本の薬事認証を得ています。 - ・「インビザライン」は米国アライン・テクノロジー社の製品の商標であり、インビザライン・ジャパン社から入手しています。
- ・日本国内においては、同様の医療機器が薬事認証を得ています。
- ・インビザライン・システムは、世界 100 カ国以上の国々で提供され、これまでに 900 万人を超える患者さまが治療を受けています。( 2020 年 10 月時点)
(症例3)前歯が、ハの字に曲がっている。
- 年齢
- 30代
- 性別
- 女性
- 期間
- 約1年4ヶ月
- 費用
- 約50万円(治療時)
- リスク清掃不良による虫歯、痛みを伴うことがあります。
前歯が、ハの字に曲がっています。翼状捻転と呼ばれる日本人に多いタイプの歯並びです。
歯と歯との間をほんの少しだけ削りすき間をつくり、全体のバランスを整えながら、並べてゆきます。
マウスピースで部分矯正をしますと、目立ちにくく、治療できます。
ご相談は、院長はじめ、スタッフにいつでもお気軽にお声かけください。
- 【 医薬品医療機器等法(薬機法)に関する記載事項 】
- ・インビザライン完成物は、日本国内において薬機法未承認の矯正装置であり、医薬品副作用被害救済制度の対象外となる場合があります。
尚、インビザラインの材料自体は、日本の薬事認証を得ています。 - ・「インビザライン」は米国アライン・テクノロジー社の製品の商標であり、インビザライン・ジャパン社から入手しています。
- ・日本国内においては、同様の医療機器が薬事認証を得ています。
- ・インビザライン・システムは、世界 100 カ国以上の国々で提供され、これまでに 900 万人を超える患者さまが治療を受けています。( 2020 年 10 月時点)
(症例4)前歯がガタガタしている。
- 年齢
- 10代
- 性別
- 女性
- 期間
- 約1年2ヶ月
- 費用
- 約50万円(治療時)
- リスク清掃不良による虫歯、痛みを伴うことがあります。
前から2番目の歯が、大きく引っ込んでいます。
特に右の犬歯が、他の歯に重なって生えて「八重歯」になっています。
歯の重なり具合が大きいですので。このケースでは、小臼歯を2本抜歯し、歯を並べるすき間を作りました。
抜歯したおかげで、前歯を大きく下げることができましたので、仕上がった時の口元もすっきりしました。
このケースは、噛み合わせや、上下のバランスを考えますと、本来は、全体矯正がベストな方法でしたが、全体矯正と部分矯正を比較され、今回は、患者さんが部分矯正を選択されました。
マウスピースで部分矯正をしますと、目立ちにくく、治療できます。
ご相談は、院長はじめ、スタッフにいつでもお気軽にお声かけください。
- 【 医薬品医療機器等法(薬機法)に関する記載事項 】
- ・インビザライン完成物は、日本国内において薬機法未承認の矯正装置であり、医薬品副作用被害救済制度の対象外となる場合があります。
尚、インビザラインの材料自体は、日本の薬事認証を得ています。 - ・「インビザライン」は米国アライン・テクノロジー社の製品の商標であり、インビザライン・ジャパン社から入手しています。
- ・日本国内においては、同様の医療機器が薬事認証を得ています。
- ・インビザライン・システムは、世界 100 カ国以上の国々で提供され、これまでに 900 万人を超える患者さまが治療を受けています。( 2020 年 10 月時点)
(症例5)上の歯が出ている
- 年齢
- 20代
- 性別
- 女性
- 期間
- 約1年10ヶ月
- 費用
- 約90万円(治療時)
- リスク清掃不良による虫歯、痛みを伴うことがあります。
前歯の2本が大きく出ています。
前歯のガタガタ感と口元の突出感を考えますと、このケースでは、小臼歯を上下2本づつ合計4本抜歯し、歯を並べるすき間を作りました。
抜歯したおかげで、前歯を大きく下げることができましたので、仕上がった時の口元もすっきりしました。
このケースは、噛み合わせや、歯の並び具合を考えますと、もう少し歯を動かすのがベストでしたが、今回は、患者さんが希望されましたので、ここで終了としました。
マウスピースで矯正をしますと、目立ちにくく、治療できます。
ご相談は、院長はじめ、スタッフにいつでもお気軽にお声かけください。
- 【 医薬品医療機器等法(薬機法)に関する記載事項 】
- ・インビザライン完成物は、日本国内において薬機法未承認の矯正装置であり、医薬品副作用被害救済制度の対象外となる場合があります。
尚、インビザラインの材料自体は、日本の薬事認証を得ています。 - ・「インビザライン」は米国アライン・テクノロジー社の製品の商標であり、インビザライン・ジャパン社から入手しています。
- ・日本国内においては、同様の医療機器が薬事認証を得ています。
- ・インビザライン・システムは、世界 100 カ国以上の国々で提供され、これまでに 900 万人を超える患者さまが治療を受けています。( 2020 年 10 月時点)
(症例6)上の歯が出ている。前歯がガタガタしている。
- 年齢
- 30代
- 性別
- 女性
- 期間
- 約2年
- 費用
- 約90万円(治療時)
- リスク清掃不良による虫歯、痛みを伴うことがあります。
前歯の2本が大きく出ています。
前歯のガタガタ感と口元の突出感を考えますと、このケースでは、小臼歯を上下2本づつ合計4本抜歯し、歯を並べるすき間を作りました。
抜歯をする歯には、悪い歯を選びますので、左下のかぶせ物がある歯を抜きます。
抜歯したおかげで、前歯を大きく下げることができましたので、仕上がった時の口元もすっきりしました。
マウスピースで矯正をしますと、目立ちにくく、治療できます。
ご相談は、院長はじめ、スタッフにいつでもお気軽にお声かけください。
- 【 医薬品医療機器等法(薬機法)に関する記載事項 】
- ・インビザライン完成物は、日本国内において薬機法未承認の矯正装置であり、医薬品副作用被害救済制度の対象外となる場合があります。
尚、インビザラインの材料自体は、日本の薬事認証を得ています。 - ・「インビザライン」は米国アライン・テクノロジー社の製品の商標であり、インビザライン・ジャパン社から入手しています。
- ・日本国内においては、同様の医療機器が薬事認証を得ています。
- ・インビザライン・システムは、世界 100 カ国以上の国々で提供され、これまでに 900 万人を超える患者さまが治療を受けています。( 2020 年 10 月時点)
(症例7)前から2番目の歯(側切歯)が凹んでいる。出っ歯で口が閉まらない。
- 年齢
- 20代
- 性別
- 女性
- 期間
- 約1年11ヶ月
- 費用
- 約90万円(治療時)
- リスク清掃不良による虫歯、痛みを伴うことがあります。
前から2番目の歯が、凹んでいます。
前歯のガタガタ感と口元の突出感を考えますと、このケースでは、小臼歯を上下2本づつ合計4本抜歯し、歯を並べるすき間を作りました。
また、鼻閉感(鼻づまり感)がありましたので、上あごを骨格的に広げる治療をしています。
抜歯したおかげで、前歯を大きく下げることができましたので、仕上がった時の口元もすっきりしました。
上あごを骨格的に広げることができましたので、きれいなアーチにすることができ、鼻閉感(鼻づまり感)も改善することができました。
マウスピースで矯正をしますと、目立ちにくく、治療できます。
ご相談は、院長はじめ、スタッフにいつでもお気軽にお声かけください。
- 【 医薬品医療機器等法(薬機法)に関する記載事項 】
- ・インビザライン完成物は、日本国内において薬機法未承認の矯正装置であり、医薬品副作用被害救済制度の対象外となる場合があります。
尚、インビザラインの材料自体は、日本の薬事認証を得ています。 - ・「インビザライン」は米国アライン・テクノロジー社の製品の商標であり、インビザライン・ジャパン社から入手しています。
- ・日本国内においては、同様の医療機器が薬事認証を得ています。
- ・インビザライン・システムは、世界 100 カ国以上の国々で提供され、これまでに 900 万人を超える患者さまが治療を受けています。( 2020 年 10 月時点)
(症例8)口元が出ている。前歯がガタガタしている。
- 年齢
- 20代
- 性別
- 女性
- 期間
- 約3年
- 費用
- 約90万円(治療時)
- リスク清掃不良による虫歯、痛みを伴うことがあります。
前歯の2本が大きく出ています。
前歯のガタガタの具合と口元の突出感を考えますと、このケースでは、小臼歯を上下2本づつ合計4本抜歯し、歯を並べるすき間を作りました。
抜歯したおかげで、前歯を大きく下げることができましたので、仕上がった時の口元もすっきりしました。
マウスピースで矯正をしますと、目立ちにくく、治療できます。
ご相談は、院長はじめ、スタッフにいつでもお気軽にお声かけください。
- 【 医薬品医療機器等法(薬機法)に関する記載事項 】
- ・インビザライン完成物は、日本国内において薬機法未承認の矯正装置であり、医薬品副作用被害救済制度の対象外となる場合があります。
尚、インビザラインの材料自体は、日本の薬事認証を得ています。 - ・「インビザライン」は米国アライン・テクノロジー社の製品の商標であり、インビザライン・ジャパン社から入手しています。
- ・日本国内においては、同様の医療機器が薬事認証を得ています。
- ・インビザライン・システムは、世界 100 カ国以上の国々で提供され、これまでに 900 万人を超える患者さまが治療を受けています。( 2020 年 10 月時点)
(症例9)下の前歯がガタガタしているのが気になる。
- 年齢
- 10代
- 性別
- 男性
- 期間
- 約8ヶ月
- 費用
- 約50万円(治療時)
- リスク清掃不良による虫歯、痛みを伴うことがあります。
下の前歯がガタガタしているのが、気になりますね。
これは、部分矯正(短期プチ矯正)の一番得意なケースです。
すき間がないので、歯を少しだけ削って全体のバランスを整えながら、並べてゆきます。
マウスピースで部分矯正をしますと、短期間に、費用も抑えて、治療できます。ご相談は、院長はじめ、スタッフにいつでもお気軽にお声かけください。
- 【 医薬品医療機器等法(薬機法)に関する記載事項 】
- ・インビザライン完成物は、日本国内において薬機法未承認の矯正装置であり、医薬品副作用被害救済制度の対象外となる場合があります。
尚、インビザラインの材料自体は、日本の薬事認証を得ています。 - ・「インビザライン」は米国アライン・テクノロジー社の製品の商標であり、インビザライン・ジャパン社から入手しています。
- ・日本国内においては、同様の医療機器が薬事認証を得ています。
- ・インビザライン・システムは、世界 100 カ国以上の国々で提供され、これまでに 900 万人を超える患者さまが治療を受けています。( 2020 年 10 月時点)
(症例10)八重歯、上下のかみ合わせが悪い。
- 年齢
- 20代
- 性別
- 女性
- 期間
- 約2年4ヶ月
- 費用
- 約95万円(治療時)
- リスク清掃不良による虫歯、痛みを伴うことがあります。
前から2番目の歯が左右とも大きくひっこんでいます。
右上の犬歯(向かって左上の糸切り歯)が張り出して、八重歯になっています。
今までの治療法では、この歯の重なり具合を治すには、抜歯をしてするしかありせん。
成長期のお子様でありましたら、急速拡大装置と言われる装置で、あごの骨を広げ、抜歯を避けながら、歯を並べることができますが、本来成人には、適応できません。
しかし、当院では、宮島先生から最新の矯正技術を学んでいますので、従来では適応外だった成人に急速拡大装置を用いて、上あごを広げることが可能となっています。
おかげで、抜歯を避けることができる症例が多くなりました。
急速拡大装置は、鼻通りが良くなりやすくなり、健康的な鼻呼吸を獲得できやすくなります。
このケースでも、元々の口元の突出感を考え、急速拡大装置をつかい、抜歯をせずに歯を並べてゆきます。
マウスピースで矯正をしますと、目立ちにくく、治療できます。
ご相談は、院長はじめ、スタッフにいつでもお気軽にお声かけください。
- 【 医薬品医療機器等法(薬機法)に関する記載事項 】
- ・インビザライン完成物は、日本国内において薬機法未承認の矯正装置であり、医薬品副作用被害救済制度の対象外となる場合があります。
尚、インビザラインの材料自体は、日本の薬事認証を得ています。 - ・「インビザライン」は米国アライン・テクノロジー社の製品の商標であり、インビザライン・ジャパン社から入手しています。
- ・日本国内においては、同様の医療機器が薬事認証を得ています。
- ・インビザライン・システムは、世界 100 カ国以上の国々で提供され、これまでに 900 万人を超える患者さまが治療を受けています。( 2020 年 10 月時点)
(症例11)上の歯が出ている。下の歯がガタガタ重なっている。
- 年齢
- 20代
- 性別
- 女性
- 期間
- 約2年8ヶ月
- 費用
- 約95万円(治療時)
- リスク清掃不良による虫歯、痛みを伴うことがあります。
上下の歯の並びが狭いので、キレイに並んでいません。
歯の重なり具合が、大きいので、このケースは、やむを得ず歯をお取りして、歯を並べるスペースを作りました。
抜歯したおかげで、前歯を下げることができましたので、仕上がった時の口元もすっきりしました。
マウスピース(インビザライン)で矯正をしますと、目立ちにくく、治療できます。
ご相談は、院長はじめ、スタッフにいつでもお気軽にお声かけください。
- 【 医薬品医療機器等法(薬機法)に関する記載事項 】
- ・インビザライン完成物は、日本国内において薬機法未承認の矯正装置であり、医薬品副作用被害救済制度の対象外となる場合があります。
尚、インビザラインの材料自体は、日本の薬事認証を得ています。 - ・「インビザライン」は米国アライン・テクノロジー社の製品の商標であり、インビザライン・ジャパン社から入手しています。
- ・日本国内においては、同様の医療機器が薬事認証を得ています。
- ・インビザライン・システムは、世界 100 カ国以上の国々で提供され、これまでに 900 万人を超える患者さまが治療を受けています。( 2020 年 10 月時点)
(症例12)上下の歯がガタガタしている。前歯の大きさが不揃い。
- 年齢
- 20代
- 性別
- 女性
- 期間
- 約2年
- 費用
- 約103万円(治療時)
- リスク清掃不良による虫歯、痛みを伴うことがあります。
上下の歯の並びが狭いので、キレイに並んでいません。
歯の重なり具合が、大きいので、このケースは、やむを得ず歯をお取りして、歯を並べるスペースを作りました。
抜歯したおかげで、前歯を下げることができましたので、仕上がった時の口元もすっきりしました。
そして、矯正後に元々歯の大きさが小さかった、左上の側切歯(左上前から2番の歯)に、セラミックの被せ物をすることで、大きさのバランスを整えました。
マウスピース(インビザライン)で矯正をしますと、目立ちにくく、治療できます。
ご相談は、院長はじめ、スタッフにいつでもお気軽にお声かけください。
- 【 医薬品医療機器等法(薬機法)に関する記載事項 】
- ・インビザライン完成物は、日本国内において薬機法未承認の矯正装置であり、医薬品副作用被害救済制度の対象外となる場合があります。
尚、インビザラインの材料自体は、日本の薬事認証を得ています。 - ・「インビザライン」は米国アライン・テクノロジー社の製品の商標であり、インビザライン・ジャパン社から入手しています。
- ・日本国内においては、同様の医療機器が薬事認証を得ています。
- ・インビザライン・システムは、世界 100 カ国以上の国々で提供され、これまでに 900 万人を超える患者さまが治療を受けています。( 2020 年 10 月時点)
(症例13)上の歯がガタガタしている。
- 年齢
- 50代
- 性別
- 女性
- 期間
- 約1年
- 費用
- 約50万円(治療時)
- リスク清掃不良による虫歯、痛みを伴うことがあります。
上の歯の並びがガタガタしています。
特に、真ん中の歯に大きな段差があります。歯並びが狭いので、キレイに並んでいません。
この場合の歯の重なり具合は、大きくはありませんので、1本1本の歯を少し削りすき間をつくることで並べてゆきます。
マウスピース(アクアシステム)で矯正をしますと、目立ちにくく、治療できます。
ご相談は、院長はじめ、スタッフにいつでもお気軽にお声かけください。
- 【 医薬品医療機器等法(薬機法)に関する記載事項 】
- ・インビザライン完成物は、日本国内において薬機法未承認の矯正装置であり、医薬品副作用被害救済制度の対象外となる場合があります。
尚、インビザラインの材料自体は、日本の薬事認証を得ています。 - ・「インビザライン」は米国アライン・テクノロジー社の製品の商標であり、インビザライン・ジャパン社から入手しています。
- ・日本国内においては、同様の医療機器が薬事認証を得ています。
- ・インビザライン・システムは、世界 100 カ国以上の国々で提供され、これまでに 900 万人を超える患者さまが治療を受けています。( 2020 年 10 月時点)
(症例14)上下の歯がガタガタしている。
- 年齢
- 10代
- 性別
- 女性
- 期間
- 約1年
- 費用
- 約95万円(治療時)
- リスク清掃不良による虫歯、痛みを伴うことがあります。
上下の歯の並びが狭いので、キレイに並んでいません。
上の歯が出ているので、お口を閉じた時、歯が出ています。
歯の重なり具合を整えても、上下の歯のずれが、大きいので、このケースは、やむを得ず歯をお取りしたケースです。
抜歯したおかげで、前歯をしっかり下げることができましたので、仕上がった時の口元もすっきりしました。
マウスピース(インビザライン)で矯正をしますと、目立ちにくく、治療できます。
ご相談は、院長はじめ、スタッフにいつでもお気軽にお声かけください。
- 【 医薬品医療機器等法(薬機法)に関する記載事項 】
- ・インビザライン完成物は、日本国内において薬機法未承認の矯正装置であり、医薬品副作用被害救済制度の対象外となる場合があります。
尚、インビザラインの材料自体は、日本の薬事認証を得ています。 - ・「インビザライン」は米国アライン・テクノロジー社の製品の商標であり、インビザライン・ジャパン社から入手しています。
- ・日本国内においては、同様の医療機器が薬事認証を得ています。
- ・インビザライン・システムは、世界 100 カ国以上の国々で提供され、これまでに 900 万人を超える患者さまが治療を受けています。( 2020 年 10 月時点)
(症例15)八重歯が気になる。
- 年齢
- 20代
- 性別
- 男性
- 期間
- 約1年11ヶ月
- 費用
- 約99万円(治療時)
- リスク清掃不良による虫歯、痛みを伴うことがあります。
左の八重歯が気になりますね。前から2番目の歯は、重なりあって、ほぼ隠れてしまっています。歯磨きも非常に難しいでしょう。
左下の歯も、外にはみ出しています。
これらの原因は、歯並びが内向きに倒れていて、狭くなっているからです。
歯の並びを横に広げて、歯の重なりを取ってゆくのですが、このままインビザラインを始めても並びません。そこで、急速拡大装置と呼ばれる上顎の骨を大きく横に広げる装置で治療を開始しました。鼻の空気の通り道も広がりますので、鼻通りも良くなり、自然な鼻呼吸を手に入れることもできました。この急速拡大装置は、大きく歯を動かしますので、歯並びを整えるのに時間がかかりましたが、結果、横顔をほぼ変えることなく、矯正を終えることができました。今回は、歯の重なりが多かったので、抜歯しての矯正になっています。
マウスピース(インビザライン)で矯正をしますと、目立ちにくく、治療できます。
ご相談は、院長はじめ、スタッフにいつでもお気軽にお声かけください。
- 【 医薬品医療機器等法(薬機法)に関する記載事項 】
- ・インビザライン完成物は、日本国内において薬機法未承認の矯正装置であり、医薬品副作用被害救済制度の対象外となる場合があります。
尚、インビザラインの材料自体は、日本の薬事認証を得ています。 - ・「インビザライン」は米国アライン・テクノロジー社の製品の商標であり、インビザライン・ジャパン社から入手しています。
- ・日本国内においては、同様の医療機器が薬事認証を得ています。
- ・インビザライン・システムは、世界 100 カ国以上の国々で提供され、これまでに 900 万人を超える患者さまが治療を受けています。( 2020 年 10 月時点)
(症例16)八重歯が気になる。口が閉じづらい。
- 年齢
- 30代
- 性別
- 女性
- 期間
- 約2年8ヶ月
- 費用
- 約90万円(治療時)
- リスク清掃不良による虫歯、痛みを伴うことがあります。
口元の突出感と鼻づまりも伴っているケースで、小さな奥歯をとり、スペースをつくり歯の重なりを取ってゆくだけでは、ご希望の症状の改善はできません。そこで、急速拡大装置と呼ばれる上顎の骨を大きく横に広げる装置で治療を開始しました。鼻の空気の通り道も広がりますので、鼻通りも良くなり、自然な鼻呼吸を手に入れることもできました。この急速拡大装置は、大きく歯を動かしますので、歯並びを整えるのに時間がかかりましたが、口元の突出感と鼻づまりも改善できました。
結果、横顔もスッキリしたスマイルになり、矯正を終えることができました。
マウスピース(インビザライン)で矯正をしますと、目立ちにくく、治療できます。
ご相談は、院長はじめ、スタッフにいつでもお気軽にお声かけください。
- 【 医薬品医療機器等法(薬機法)に関する記載事項 】
- ・インビザライン完成物は、日本国内において薬機法未承認の矯正装置であり、医薬品副作用被害救済制度の対象外となる場合があります。
尚、インビザラインの材料自体は、日本の薬事認証を得ています。 - ・「インビザライン」は米国アライン・テクノロジー社の製品の商標であり、インビザライン・ジャパン社から入手しています。
- ・日本国内においては、同様の医療機器が薬事認証を得ています。
- ・インビザライン・システムは、世界 100 カ国以上の国々で提供され、これまでに 900 万人を超える患者さまが治療を受けています。( 2020 年 10 月時点)
(症例17)下の歯がガタガタしている
- 年齢
- 初診時年齢6歳6ヶ月
- 性別
- 女性
- 期間
- 約10年
- 費用
- 約113万円(治療時)
- リスク清掃不良による虫歯、痛みを伴うことがあります。
下の歯が生え変わってき始めたくらいの女の子です。歯科医院に歯並び相談にくるには、一番良い時期です。
上下ともキレイにすき間なく並んだ乳歯(子どもの歯)から大人の歯が2本生えた状態です。すき間がないので、少しガタガタしています。生え変わりがさらに進むと、間違いなく並びません。 そこで、拡大床と呼ばれる、顎を少し広げる装置で歯を並べてゆきました。
全ての乳歯が生えかわったところで確認しますと、少し出っ歯に成長していることがわかりました。上下のバランスを考えて、上の歯を全体的に奥に移動させてゆきました。 移動が終わった後に、インビザラインで、整えて終了です。
マウスピース(インビザライン)で矯正をしますと、目立ちにくく、治療できます。
ご相談は、院長はじめ、スタッフにいつでもお気軽にお声かけください。
- 【 医薬品医療機器等法(薬機法)に関する記載事項 】
- ・インビザライン完成物は、日本国内において薬機法未承認の矯正装置であり、医薬品副作用被害救済制度の対象外となる場合があります。
尚、インビザラインの材料自体は、日本の薬事認証を得ています。 - ・「インビザライン」は米国アライン・テクノロジー社の製品の商標であり、インビザライン・ジャパン社から入手しています。
- ・日本国内においては、同様の医療機器が薬事認証を得ています。
- ・インビザライン・システムは、世界 100 カ国以上の国々で提供され、これまでに 900 万人を超える患者さまが治療を受けています。( 2020 年 10 月時点)
(症例18)笑った時に前歯がでる。口が閉じづらい
- 年齢
- 10代
- 性別
- 女性
- 期間
- 約3年
- 費用
- 約90万円(治療時)
- リスク清掃不良による虫歯、痛みを伴うことがあります。
口元の突出感があるケースで、小さな奥歯をとり、スペースをつくり歯の重なりを取ってゆきました。抜歯をすると、抜歯をしない場合より、治療期間が長くなりますが、口元の突出感を目に見える形で改善できました。 結果、横顔もスッキリしたスマイルになり、矯正を終えることができました。
マウスピース矯正を短時間で成功させるカギは、マウスピースの装着時間です。1日20-22時間つけることができるかどうかです。マウスピースを20-22時間以上装着し、チューイを噛んで、よくなじませている方は、治療が計画どおり進みます。日々の歯磨きを丁寧に行い、20時間以上の装着時間を守っている方は、アタッチメントと呼ばれる、歯のつける「ひっかかり」の脱離も少ないので、来院頻度を2-3ヶ月に一度をのばすこともできます。
マウスピース(インビザライン)で矯正をしますと、目立ちにくく、治療できます。
ご相談は、院長はじめ、スタッフにいつでもお気軽にお声かけください。
- 【 医薬品医療機器等法(薬機法)に関する記載事項 】
- ・インビザライン完成物は、日本国内において薬機法未承認の矯正装置であり、医薬品副作用被害救済制度の対象外となる場合があります。
尚、インビザラインの材料自体は、日本の薬事認証を得ています。 - ・「インビザライン」は米国アライン・テクノロジー社の製品の商標であり、インビザライン・ジャパン社から入手しています。
- ・日本国内においては、同様の医療機器が薬事認証を得ています。
- ・インビザライン・システムは、世界 100 カ国以上の国々で提供され、これまでに 900 万人を超える患者さまが治療を受けています。( 2020 年 10 月時点)
(症例19)上の歯の段差が気になる。短期間で治したい。
- 年齢
- 30代
- 性別
- 女性
- 期間
- 約1年3ヶ月
- 費用
- 約50万円(治療時)
- リスク清掃不良による虫歯、痛みを伴うことがあります。
上の前歯の右側に隣の歯との段差があります。
真ん中の前歯が少し飛び出ていますので、歯と歯の間を薄くスライスして、すき間をつくり、歯を整列させてゆきます。
上の歯だけの部分矯正のケースです。
マウスピース(アクアシステム)で矯正をしますと、目立ちにくく、治療できます。
ご相談は、院長はじめ、スタッフにいつでもお気軽にお声かけください。
アクアシステム・・国内の技工所で、作製されるオーダーメイドのマウスピースです。約1ヶ月の1回通院していただき、その都度、新しいトレーをお渡します。マウスピースの装着時間は、1日20-22時間です
- 【 医薬品医療機器等法(薬機法)に関する記載事項 】
- ・インビザライン完成物は、日本国内において薬機法未承認の矯正装置であり、医薬品副作用被害救済制度の対象外となる場合があります。
尚、インビザラインの材料自体は、日本の薬事認証を得ています。 - ・「インビザライン」は米国アライン・テクノロジー社の製品の商標であり、インビザライン・ジャパン社から入手しています。
- ・日本国内においては、同様の医療機器が薬事認証を得ています。
- ・インビザライン・システムは、世界 100 カ国以上の国々で提供され、これまでに 900 万人を超える患者さまが治療を受けています。( 2020 年 10 月時点)
(症例20)上の歯の段差が気になる。少しグラグラする。
- 年齢
- 50代
- 性別
- 女性
- 期間
- 約3年4ヶ月
- 費用
- 約50万円(治療時) ※ホワイトニングの費用は別途
- リスク清掃不良による虫歯、痛みを伴うことがあります。
上の前歯の左側に隣の歯との段差があります。真ん中の前歯が少し飛び出ています。通常どおり力を加えて歯を整列させてゆきます。通常と違うのは、この歯が、歯周病になっていることでした。
歯周病治療をしつつ、通常より弱い力でゆっくりと動かしてゆきます。上の歯だけの部分矯正のケースです。
マウスピース(アクアシステム)で矯正をしますと、目立ちにくく、治療できます。
マウスピースでの矯正は、同時にホワイトニングができます。ホワイトニングは、歯が白くなるばかりでなく、歯周病、虫歯にも非常に有効です。
ホワイトニングは酸素の力で歯を白くしてゆくのですが、この酸素の力は、歯周病菌、虫歯菌の減少にも効果を発揮します。ホワイトニングされた歯は、フッ素の取り込み能力も増しますので、虫歯に強い歯になってゆきます。
この症例では、マウスピースで、歯に不必要な力がかかることを排除できましたので、矯正終了後は、歯は安定し、グラグラする感じもなくなりました。
ご相談は、院長はじめ、スタッフにいつでもお気軽にお声かけください。
アクアシステム・・国内の技工所で、作製されるオーダーメイドのマウスピースです。約1ヶ月の1回通院していただき、その都度、新しいトレーをお渡します。マウスピースの装着時間は、1日20-22時間です
- 【 医薬品医療機器等法(薬機法)に関する記載事項 】
- ・インビザライン完成物は、日本国内において薬機法未承認の矯正装置であり、医薬品副作用被害救済制度の対象外となる場合があります。
尚、インビザラインの材料自体は、日本の薬事認証を得ています。 - ・「インビザライン」は米国アライン・テクノロジー社の製品の商標であり、インビザライン・ジャパン社から入手しています。
- ・日本国内においては、同様の医療機器が薬事認証を得ています。
- ・インビザライン・システムは、世界 100 カ国以上の国々で提供され、これまでに 900 万人を超える患者さまが治療を受けています。( 2020 年 10 月時点)
(症例21)口元がでている。ひっこめたい。
- 年齢
- 40代
- 性別
- 女性
- 期間
- 約3年8ヶ月
- 費用
- 約90万円(治療時) ※ホワイトニングの費用は別途
- リスク清掃不良による虫歯、痛みを伴うことがあります。
口元の突出感があるケースで、小さな奥歯をとり、スペースをつくり歯の重なりを取ってゆきました。抜歯をすると、抜歯をしない場合より、治療期間が長くなりますが、口元の突出感を目に見える形で改善できました。
結果、横顔もスッキリしたスマイルになり、矯正を終えることができました。
この方の場合、途中奥歯の動きがスムーズでなかったので、奥歯には部分的なワイヤー矯正を併用したインビザライン矯正です。
マウスピース矯正を短時間で成功させるカギは、マウスピースの装着時間です。マウスピースを1日20-22時間以上装着し、チューイを噛んで、よくなじませている方は、治療が計画どおり進みます。日々の歯磨きを丁寧に行い、20時間以上の装着時間を守っている方は、アタッチメントと呼ばれる、歯のつける「ひっかかり」の脱離も少ないので、来院頻度を2-3ヶ月に一度をのばすこともできます。
マウスピース(インビザライン)で矯正をしますと、目立ちにくく、治療できます。
ご相談は、院長はじめ、スタッフにいつでもお気軽にお声かけください。
- 【 医薬品医療機器等法(薬機法)に関する記載事項 】
- ・インビザライン完成物は、日本国内において薬機法未承認の矯正装置であり、医薬品副作用被害救済制度の対象外となる場合があります。
尚、インビザラインの材料自体は、日本の薬事認証を得ています。 - ・「インビザライン」は米国アライン・テクノロジー社の製品の商標であり、インビザライン・ジャパン社から入手しています。
- ・日本国内においては、同様の医療機器が薬事認証を得ています。
- ・インビザライン・システムは、世界 100 カ国以上の国々で提供され、これまでに 900 万人を超える患者さまが治療を受けています。( 2020 年 10 月時点)
(症例22)上の歯の犬歯が、反対になっている。
- 年齢
- 40代
- 性別
- 女性
- 期間
- 約1年6ヶ月
- 費用
- 約50万円(治療時) ※ホワイトニング・セラミッククラウンの費用は別途
- リスク清掃不良による虫歯、痛みを伴うことがあります。
右上の犬歯が反対に噛んでいます。
おかげで、かみ合わせが全体的に右に寄ってしまっています。正面から見た時に顎先が右にずれてしまっています。
1本だけの反対かみ合わせは、部分矯正の範囲で治療できます。
奥に引っ込んでしまっている犬歯を表に出すには、すき間が必要でしたが、前歯の差し歯をやり替えることで、犬歯がでてくる隙間をつくりつつ、全体的なバランスを整えることができました。
マウスピース(アクアシステム)で矯正をしますと、目立ちにくく、治療できます。
マウスピースでの矯正は、同時にホワイトニングができます。
ホワイトニングは、歯が白くなるばかりでなく、歯周病、虫歯にも非常に有効です。
ホワイトニングは酸素の力で歯を白くしてゆくのですが、この酸素の力は、歯周病菌、虫歯菌の減少にも効果を発揮します。ホワイトニングされた歯は、フッ素の取り込み能力も増しますので、虫歯に強い歯になってゆきます。
ご相談は、院長はじめ、スタッフにいつでもお気軽にお声かけください。
アクアシステム・・国内の技工所で、作製されるオーダーメイドのマウスピースです。約1ヶ月の1回通院していただき、その都度、新しいトレーをお渡します。マウスピースの装着時間は、1日20-22時間です。
- 【 医薬品医療機器等法(薬機法)に関する記載事項 】
- ・インビザライン完成物は、日本国内において薬機法未承認の矯正装置であり、医薬品副作用被害救済制度の対象外となる場合があります。
尚、インビザラインの材料自体は、日本の薬事認証を得ています。 - ・「インビザライン」は米国アライン・テクノロジー社の製品の商標であり、インビザライン・ジャパン社から入手しています。
- ・日本国内においては、同様の医療機器が薬事認証を得ています。
- ・インビザライン・システムは、世界 100 カ国以上の国々で提供され、これまでに 900 万人を超える患者さまが治療を受けています。( 2020 年 10 月時点)
(症例23)下の歯がガタガタしている。
- 年齢
- 20代
- 性別
- 女性
- 期間
- 約3年7ヶ月
- 費用
- 約90万円(治療時)
- リスク清掃不良による虫歯、痛みを伴うことがあります。
患者さんが気にされたのは、下の歯ですが、上の歯もガタガタしています。
上下の歯が内側に入っており、歯が並ぶスペースが狭くなっていますので、歯がガタガタしています。鼻づまりも感じられていましたので、骨格的に歯の並ぶスペースが狭いことがわかります。
はじめに、急速拡大装置と呼ばれる上顎の骨を大きく横に広げる装置で治療を開始しました。鼻の空気の通り道も広がりますので、鼻通りも良くなり、自然な鼻呼吸を手に入れることもできました。この急速拡大装置は、大きく歯を動かしますので、歯並びを整えるのに時間がかかりましたが、自然な歯並びに仕上がったと思います。
また、口元を改善するために、小臼歯(前から4番目の歯)を抜歯しております。
マウスピース(インビザライン)矯正を希望されましたので、マウスピース矯正で治療をすすめました。
マウスピースで矯正をしますと、目立ちにくく、治療できます。
ご相談は、院長はじめ、スタッフにいつでもお気軽にお声かけください。
- 【 医薬品医療機器等法(薬機法)に関する記載事項 】
- ・インビザライン完成物は、日本国内において薬機法未承認の矯正装置であり、医薬品副作用被害救済制度の対象外となる場合があります。
尚、インビザラインの材料自体は、日本の薬事認証を得ています。 - ・「インビザライン」は米国アライン・テクノロジー社の製品の商標であり、インビザライン・ジャパン社から入手しています。
- ・日本国内においては、同様の医療機器が薬事認証を得ています。
- ・インビザライン・システムは、世界 100 カ国以上の国々で提供され、これまでに 900 万人を超える患者さまが治療を受けています。( 2020 年 10 月時点)
(症例24)上の歯が出ている。右上前の歯並びに段差がある。下の歯のガタガタの気になる。口元も少し気になる
- 年齢
- 20代
- 性別
- 女性
- 期間
- 約2年4ヶ月
- 費用
- 約100万円(治療時)
- リスク清掃不良による虫歯、痛みを伴うことがあります。
上の前歯が2本でているので、隣りの歯との段差がめだちガタガタしています。
下の前歯も少しガタガタしています。
最初の治療の目標は、上のガタガタを治したい、口元の突出感も気になる、でした。そして、マウスピースでの部分矯正を希望されました。
しかしながら、部分的な矯正では、口元の変化はほとんど起きないことをご説明して、ご了解を得て、マウスピース矯正を始めました。
最初の治療目標である上の歯だけの矯正を始めて約1年後、上の歯がほぼ並んできたところ、下の歯も気になりはじめ下の歯もマウスピース矯正を始めました。
上下が時間差で開始されたので、治療の総期間は長くなってしまいました。
マウスピース矯正は、目立ちにくく手軽な反面、できることがワイヤー矯正より限られています。なんでもできるわけではありませんので、適応症例をきちんと診断できる(説明できる)ことが大切です。当院のカウンセリングでは、マウスピース矯正の限界もきちんととお話しています。
また、マウスピースの装着時間は治療の成果にとても影響します。当たり前ですが、つけておかないと治りません。
- 【 医薬品医療機器等法(薬機法)に関する記載事項 】
- ・インビザライン完成物は、日本国内において薬機法未承認の矯正装置であり、医薬品副作用被害救済制度の対象外となる場合があります。
尚、インビザラインの材料自体は、日本の薬事認証を得ています。 - ・「インビザライン」は米国アライン・テクノロジー社の製品の商標であり、インビザライン・ジャパン社から入手しています。
- ・日本国内においては、同様の医療機器が薬事認証を得ています。
- ・インビザライン・システムは、世界 100 カ国以上の国々で提供され、これまでに 900 万人を超える患者さまが治療を受けています。( 2020 年 10 月時点)
(症例25)上下の歯がガタガタしている。
- 年齢
- 10代
- 性別
- 女性
- 期間
- 約3年5ヶ月
- 費用
- 約90万円(治療時)
- リスク清掃不良による虫歯、痛みを伴うことがあります。
上下の前歯が並びきれていません。歯が重なり合っています。口元も少しでています。
歯の重なりと口元を同時に治すために、小臼歯(小さな奥歯)を抜歯して治療を進めました。
インビザラインを希望されましたので、インビザラインで治療を進めました。
マウスピース矯正は、目立ちにくく手軽な反面、マウスピースの装着時間に治療の成果にとても影響します。当たり前ですが、つけておかないと治りません。
マウスピース矯正は、ワイヤー矯正と違い、24時間完全に力をかけ続けることができません(食事中・歯磨き中は外さないといけませんので)、その分ワイヤー矯正より時間がかかる場合があります。
このケースは、患者さんが、非常に頑張って装着時間を守ってくれましたので、うまくゆきました。
マウスピース矯正、インビザライン矯正のご相談は、院長はじめ、スタッフにいつでもお気軽にお声かけください。
- 【 医薬品医療機器等法(薬機法)に関する記載事項 】
- ・インビザライン完成物は、日本国内において薬機法未承認の矯正装置であり、医薬品副作用被害救済制度の対象外となる場合があります。
尚、インビザラインの材料自体は、日本の薬事認証を得ています。 - ・「インビザライン」は米国アライン・テクノロジー社の製品の商標であり、インビザライン・ジャパン社から入手しています。
- ・日本国内においては、同様の医療機器が薬事認証を得ています。
- ・インビザライン・システムは、世界 100 カ国以上の国々で提供され、これまでに 900 万人を超える患者さまが治療を受けています。( 2020 年 10 月時点)
(症例26)上の八重歯、下の歯並びが気になる。
- 年齢
- 20代
- 性別
- 女性
- 期間
- 約2年5ヶ月
- 費用
- 約95万円(治療時)
- リスク清掃不良による虫歯、痛みを伴うことがあります。
上下とも、犬歯の生えるスペースがありません。特に上の歯は、スペースがなく、歯がガタガタしています。全体的に歯が内側に倒れ込んでおり、舌が収まる空間も狭くなっており、姿勢に影響がでてきそうです。
全体的に内側に倒れ込んだ歯をおこすためのスペースをつくるために急速拡大装置呼ばれる骨格的改善ができる装置を使い、左右的に歯が並ぶスペースを作ります。
小さな奥歯をとり、前後的に歯が並ぶスペースをつくり歯の重なりを取ってゆきました。抜歯をすると、抜歯をしない場合より、治療期間が長くなりますが、口元の突出感を目に見える形で改善できます。
結果、横顔もスッキリしたスマイルになり、矯正を終えることができました。
マウスピース矯正を短時間で成功させるカギは、マウスピースの装着時間です。マウスピースを1日20-22時間以上装着し、チューイを噛んで、よくなじませている方は、治療が計画どおり進みます。日々の歯磨きを丁寧に行い、20時間以上の装着時間を守っている方は、アタッチメントと呼ばれる、歯のつける「ひっかかり」の脱離も少ないので、来院頻度を2-3ヶ月に一度をのばすこともできます。
マウスピース(インビザライン)で矯正をしますと、目立ちにくく、治療できます。
ご相談は、院長はじめ、スタッフにいつでもお気軽にお声かけください。
- 【 医薬品医療機器等法(薬機法)に関する記載事項 】
- ・インビザライン完成物は、日本国内において薬機法未承認の矯正装置であり、医薬品副作用被害救済制度の対象外となる場合があります。
尚、インビザラインの材料自体は、日本の薬事認証を得ています。 - ・「インビザライン」は米国アライン・テクノロジー社の製品の商標であり、インビザライン・ジャパン社から入手しています。
- ・日本国内においては、同様の医療機器が薬事認証を得ています。
- ・インビザライン・システムは、世界 100 カ国以上の国々で提供され、これまでに 900 万人を超える患者さまが治療を受けています。( 2020 年 10 月時点)
当院のマウスピース矯正なら…
iTero Element 5D(アイテロ エレメント5D)による光学スキャナー
次世代の光学スキャナーにより口腔内の精密な歯型を3Dデジタルデータとして取ることが出来ます。
従来の方法(シリコン印象)で作製するより、装着感がよくて、歯がスムーズに動くマウスピース(アライナー)ができます。
- シリコン印象より快適、固まるまで待つ必要やシリコンの誤嚥の危険がなく、印象材で口の周り等が汚れる心配がないです
- シリコン印象より精密な歯型が取れるので、再印象(型の取り直し)のリスクが少ないです
- シリコン印象よりマウスピース(アライナー)作製期間が短いです
- NIRI技術(近赤外光画像)で被ばくすることなくむし歯を発見しやすくなる機能があります
プラチナプロバイダー認定
当院では、院長がアライン・テクノロジー社よりインビザラインの「プラチナプロバイダー(platinum provider)」のステータス認定を受けています。
プラチナプロバイダーとは、インビザラインでの症例数が年間一定以上のドクターにインビザライン・ジャパン社から与えられる認定ランクの称号です。
多くのインビザライン症例を扱っていますのでご安心してご相談いただけます。
また、当院では、インビザラインはもちろんのことワイヤー矯正も扱っており、患者さんに合った治療方法を提案しております。
透明に近い素材で目立たない
矯正器具(ブラケット・ワイヤー)などを使用せず、透明のマウスピースで矯正を行います。
治療中であることを周りの人に気づかれにくいです。
お口の中のお手入れがしやすい
取り外しが可能なので、矯正中の歯磨きや食事も普段通り行えます。お口の中を健康な状態に保つことができます。
動画や画像で確認できる
当院では、マウスピース矯正にインビザライン※というメーカーを採用しています。
そのため、治療の開始から完了までの歯の移動を、3次元治療計画ソフトを使って「治療計画を立てる段階で」確認することができます。
インビザラインとは?

最新のデジタル技術を駆使し、患者様の治療計画にあわせたマウスピース作製の再現性と正確性に優れたマウスピース矯正システムです。メーカー独自の3次元治療計画ソフトウェアにより、完了までの期間や、歯の移動を画像や動画として視覚的に把握できる点も魅力。
マウスピース矯正は、取り外しができる反面、患者様一人ひとりの自己管理がとても大切になります。インビザラインなら治療計画を立てる段階で、完成形を確認しながら、目標に向かって治療を進めていけるので、「モチベーションを保ちやすい」という意味でも非常に効果的なシステムです。
インビザラインと他のマウスピース矯正の違い
| インビザライン | 他のマウスピース矯正 | |
|---|---|---|
| 正確さ・再現性 | 精度が非常に高い。全世界の臨床データを下に高度な治療設計を作成できる | 技工士によってばらつきが生じやすい |
| 歯型の採取 | 約2-5回 | 来院の度に毎回歯型を採取 |
| 適応範囲 | 多くのケースで対応可能 | 前歯の簡単な移動だけに限定 |
| 来院感覚 | 2~3ヶ月に1回通院 | 2週間~1ヶ月に1回通院 |
| 来院期間 | 検査の時点で治療期間が決まります | 治療期間の予測が難しい |
| 治療料金 | 定額制 | 定額制 |
| 治療途中の転院 | 全世界共通の患者番号があるので転院が容易です | 医院ごとにシステム装置が変わるので転院先を探すのに苦労する |
未承認医薬品を用いた治療について
1.未承認医薬品であることの明示
マウスピース型矯正装置(インビザライン)は、薬機法上の承認を得ていません。
2.入手経路
マウスピース型矯正装置(インビザライン)は米国アライン・テクノロジー社の製品であり、インビザライン・ジャパン株式会社を介して入手しています。
3.国内の承認医薬品等の有無の明示
国内でもマウスピース型矯正装置(インビザライン)に似た装置があり、国内で薬事承認されているものもあります。日本で医療機器としての矯正装置と認められるものは、次の2点を満たしたものです。
・薬事承認されている材料を使用していること
・既製品の場合は、その装置が薬事承認されていること
※日本の国家試験に合格した歯科医師もしくは歯科技工士が製作した矯正装置の場合は、医療機器ではなく「歯科技工物」に該当します。
4.諸外国における安全性等に係る情報の明示
マウスピース型矯正装置(インビザライン)は、世界100か国以上の国で提供され、800万人を超える患者様が治療を受けられている治療方法で、重篤な副作用の報告はありません。(2020年1月時点)日本においては、薬機法未承認の矯正歯科装置であり、医薬品副作用被害救済制度の対象外となる場合があります。
マウスピース矯正の料金表
料金はこちら分割払いもできます
当院では、自費診療のお支払いに現金、ご自身のクレジットカードのほか、提携ローン利用による治療費の分割払いに対応しています。
また症例によって医療費控除の対象となることもあります。予算の都合で迷っていた方も、お気軽にご相談ください。
提携ローンの利用例
月々 17,400円(税込み)(初回のみ20,585円)
※インビザライン治療費95万円(税込み)
※提携ローンで5年払い(金利3.9%)とした場合
※保険適用外の自由診療となります。
※表示金額は標準的なものです。詳細内容については医院にお尋ね下さい。
医療費控除が適用される症例の場合
インビザライン治療費86.4万円(税別)
収入が330万~650万とした場合
計算方法:86.4万(治療費)- 10万(所得控除)= 76.4万
76.4万×20%(所得税※1)= 15.2万(医療費控除額)
上記シミュレーションが適用される症例の場合、医療費控除によって金利分相当の還付が期待できます。還付金の比率は所得に応じて異なります。
※1 所得税20%は、課税所得金額が330万~650万の税率です。詳しくは、国税庁の【所得税のしくみ】をご覧ください。
ご注意ください
当院では、新生銀行グループのアプラスパーソナルローンと提携しています。ローンのご利用には、ローン会社による所定の審査があります。
当院では、審査についてのお問い合わせにはお答えできません。医療費控除は治療目的に限ります。審美目的の場合は適応されません。
詳しくは、国税庁の【医療費控除の対象となる歯の治療費の具体例 】をご覧ください。
治療の流れ
-
1カウンセリング・精密検査
ほかの矯正方法と同じく初診時にカウンセリングを行います。
マウスピース矯正治療を選ばれた方は、初診時に治療計画も作成します。
口腔内写真、レントゲンや歯の型を撮ります。 -
2iTero Element 5D(光学印象装置によるスキャン)
ペンライトほどの装置でお口の中をなぞりスキャニングします。精密な口腔内の状態がモニター表示されます。
-
3マウスピースを作ります
患者様ひとりひとりにあったマウスピース(アライナー)を作成します。
治療計画後、およそ3週間ほどで完成します。 -
4マウスピース矯正を始めます
患者様にマウスピースをお渡しして治療を始めます。
毎日装着していただき、1~2週間ごとに新しいマウスピースを交換しながら治療を進めます。 -
5治療経過の確認
約4~6週間ごとに通院していただきます。
歯の移動の経過を確認しながら治療を進めていきます。 -
6治療終了
治療後は、移動した歯の位置を安定させるためにリテーナー(保定装置)を使用します。
リテーナーは一日20時間。
矯正した歯の位置が安定するまでの期間は、移動にかかった期間が目安になります。
よくあるご質問
-
矯正装置はどれくらい目立たないものですか?
-
じっくり歯を見られない限り、ほとんど気づかれることはないようです。
-
話すときに発音がおかしくなったりしませんか?
-
初めのうちは、多少発音しづらいこともあります。装着に慣れるとほとんどの方が問題なく過ごされているようです。
-
マウスピース矯正は本当に痛くないですか?
-
装着中は痛みはほとんどありません。もし痛みや違和感を覚えるとしたら着脱時です。
一定の位置まで歯を動かすため装着時には多少の圧迫感を感じます。反対に外すと移動するためにかかっていた力から解放されるので、自然と元の位置に戻ろうとする力が働きます。そのため外した直後に食事をすると、少し痛みや違和感を覚えることもあります。
-
虫歯や歯周病にかかっているかもしれませんが大丈夫ですか?
-
矯正治療に入る前に、虫歯や歯周病の治療を行います。虫歯に関しては、iTero element 5Dを用いることで人の目では確認しづらい初期虫歯を発見できます。
より安心してもらえるような矯正治療を行えるように環境を整えております。
-
奥歯がないのですが、マウスピース矯正できますか?
-
前歯だけの矯正でしたらマウスピース矯正ができます。
前歯だけであれば、マウスピース矯正のほかに短期間で済ませられる部分矯正もお選びいただける可能性があります。
-
1日何時間くらいつけていればいいですか?寝ているときは外してもいいですか?
-
原則として1日20-22時間は装着してください。治療のためには食事中以外は寝ているときも装着する必要があります。
-
接客業をしています。人前で話したりするときはできれば外したいのですが、例えば1日8時間程度外していても治療は成立しますか?
治療期間が長くなるとしたらどれくらい伸びるでしょうか? -
治療は成立しますが、治療期間は2倍程延びてしまうと思います。
-
マウスピースを装着した状態で、スポーツをしても大丈夫ですか?
-
問題ありません。ワイヤー矯正よりも安全です。
-
マウスピースを装着したまま飲食はできますか?どうしても外出先で外せないときは、最初から外していったほうがいいですか?
1日外していたら、元に戻ってしまいますか? -
装着したまま飲食はできません。また1日外していると、2~3日程度後戻りしてしまいます。
-
後戻りを防止するために矯正が終わっても保定装置が必要だと聞きました。
どれくらいの期間、1日あたりどれくらいつけておく必要がありますか? -
保定する期間は、矯正の治療にかかった期間と同じ期間を目安にして下さい。
-
マウスピース矯正と普通のワイヤーを使った矯正だとどっちが後戻りしやすいですか?
-
後戻りのしやすさに差はありません。